急性硬膜外血腫(きゅうせいこうまくがいけっしゅ、acute epidural hematoma)とは、短時間のうちに硬膜と頭蓋骨との間に血腫が形成された状態のことである。
通常、頭部外傷に伴う頭蓋骨骨折に合併し、頭部外傷としては重症に分類される。
病態
主に硬膜の外側にある硬膜動脈、他に硬膜静脈、あるいは静脈洞の損傷からの出血によって頭蓋骨と硬膜の間に生じる動脈性出血。特に、側頭骨骨折による中硬膜動脈の破綻によるものが多い。
症状
受傷直後には意識障害を呈するが、脳挫傷などによる脳自体の一次的損傷が少ない場合には、すぐに意識は回復する(意識清明期=lucid interval)。しかし、血腫の増大によって徐々にあるいは急速に脳圧が亢進し、再び意識障害を呈する。同時に、瞳孔不同、片麻痺、除皮質あるいは除脳硬直などの脳嵌頓徴候を生じる。中硬膜動脈の損傷がある場合には、この徴候は急速に出現することが多い。
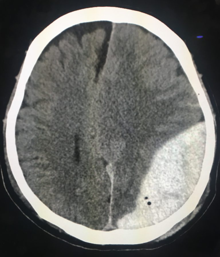
診断
頭部CTにより、血腫をレンズ状の高吸収域としてみとめ、圧排のためにミッドラインシフトがみられる。
治療
緊急に開頭し、血腫除去や止血を行う。脳浮腫に対してはグリセリンを使用する。
脚注
関連項目
- 脳神経外科学
- 脊髄硬膜外血腫




